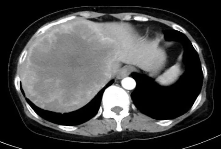
全て 悪性リンパ腫 肉腫 膵臓がん 肛門がん 大腸がん 膀胱がん 胆道がん(胆管がん・胆嚢がん) 脳腫瘍 胃がん 食道がん 胸腺がん 肺がん 頭頸部がん 乳がん 卵巣がん 子宮体がん 前立腺がん 治療実績 症例8 大腸がんステージ4、肝臓を覆い尽くす巨大な転移の消失、主治医、放射線科医も驚く 治療実績 症例1 膀胱癌ステージ4の患者さま。抗がん剤の効果がなく、プレシジョン免疫療法を開始したところすべての転移が消失、腫瘍マーカーも正常化しました。 治療実績 症例5 子宮平滑筋肉腫(再発)、8年間再々発なし 治療実績 症例16 膵臓がんステージ4、当グループが目指す(理想とする)膵臓がん治療プランと経過 治療実績 症例1 肛門管がんステージⅢ、手術・抗がん剤治療は行わず、免疫療法+放射線治療のみで長期安定 治療実績 症例15 30代の患者さま、膵臓がんステージⅢからの克服 治療実績 症例2 前立腺がんステージ4、ホルモン治療+プレシジョン免疫療法で6年間良好にコントロール中 治療実績 症例6 乳がんステージ4、余命半年宣告からの5年お元気