プレシジョンクリニック
プレシジョンクリニック
  • プレシジョンメディシンとはPrecision Medicine
  • 治療ラインナップTreatment Lineup
    • 樹状細胞ワクチン療法
    • 活性化リンパ球(LAK)療法
    • ナチュラルキラー(NK)細胞療法
    • 免疫チェックポイント阻害剤
    • 放射線療法
  • 治療費Treatment Cost
  • クリニックのご案内Clinic Info
  • 膵臓がんの方へPancreatic-Cancer
  • 症例Results
  • コラム Column
TEL
  • 東京院03-6228-6062
  • 名古屋院052-238-3525
  • 神戸院078-940-2111
無料医療相談Consultation

症例

  • HOME
  • 膵臓がん
全て
悪性リンパ腫
肉腫
膵臓がん
肛門がん
大腸がん
膀胱がん
胆道がん(胆管がん・胆嚢がん)
脳腫瘍
胃がん
食道がん
胸腺がん
肺がん
頭頸部がん
乳がん
卵巣がん
子宮体がん
前立腺がん
治療実績
症例16
膵臓がんステージ4、当グループが目指す(理想とする)膵臓がん治療プランと経過
治療実績
症例15
30代の患者さま、膵臓がんステージⅢからの克服
治療実績
症例14
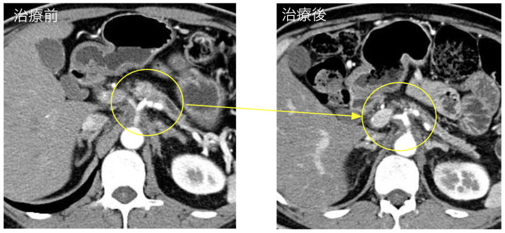
こぶし大に近い膵臓がんが縮小している
治療実績
症例13
膵臓がんステージ4、標準治療と免疫療法で4年間無再発
治療実績
症例12
膵臓がんステージ4(腹膜播種)の治療後、6年間無再発
治療実績
症例11
【膵臓がんステージ2】陽子線治療+抗がん剤+プレシジョン免疫療法で5年間の長期生存(完治)
治療実績
症例10
膵臓がんステージ3が手術ができるまで改善しました
治療実績
症例9
【膵臓がんステージ4】プレシジョン免疫療法単独で余命1ヶ月からの驚異的な回復
  • 1
  • 2
  • 東京院03-6228-606210:00~18:00
    (休診:水、日祝)
  • 名古屋院052-238-352510:00~18:00
    (休診:月、日祝)
  • 神戸院078-940-211110:00~18:00
    (休診:月、日祝)
  • お知らせ
ロゴマーク
  • サイトマップ
  • プライバシーポリシー
©プレシジョンメディカルケア